Can you guess which tooth is the implant?
(Roll over the image to reveal the implant.)
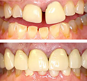
Full mouth reconstruction restored with all-ceramic crowns.
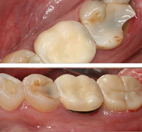
Full coverage zirconia crown restoring broken molar.
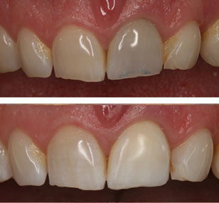
Internal bleach procedure correcting discolored front tooth.
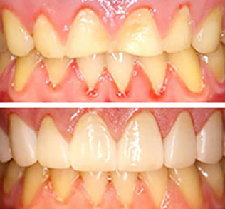
Porcelain fused to metal crowns restoring damaged
and worn teeth.
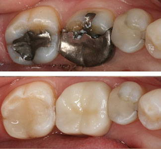
Composite resin filling and all-ceramic crown replacing
failing amalgams (silver fillings).
All-ceramic crowns correcting tooth damage
from acid erosion.
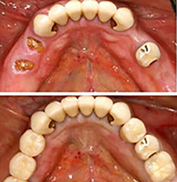
Dental implants before and after.
(Implants placed and restored in-office.)
Decayed front teeth restored in single visit
with composite resin.
Our Best Smiles
6731 Ridge Rd. Suite 201 Lynett Medical Bldg. Parma, Ohio 44129 | 440.884.6644
© Bizga Dental, Inc. 2013