Can you guess which tooth is
the implant?
(Roll over the image to reveal the implant.)
Our Best Smiles
Full mouth reconstruction restored with all-ceramic crowns.
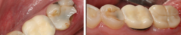
Full coverage zirconia crown restoring broken molar.
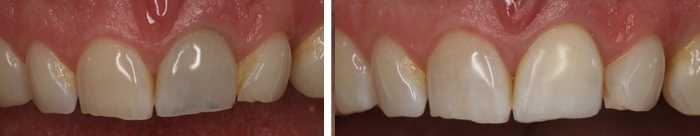
Internal bleach procedure correcting discolored front tooth.
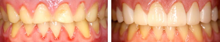
Porcelain fused to metal crowns restoring damaged and worn teeth.
Composite resin filling and all-ceramic crown replacing failing amalgams (silver fillings).
All-ceramic crowns correcting tooth damage from acid erosion.
Dental implants before and after. (Implants placed and restored in-office)
Decayed front teeth restored in single visit with composite resin.
6731 Ridge Rd. Suite 201 Lynett Medical Bldg. Parma, Ohio 44129 | 440.884.6644
© Bizga Dental, Inc. 2013